건강·생활
- 최신순
주요뉴스
기획/취재
주간 TOP뉴스
- 1입 안이 건조해 불편할 땐 인공타액 ‘드라이메디겔’
- 2일동생활건강, 유튜버 ‘비타민신지니’ 콜라보 신제품 ‘지큐랩’ 2종 출시
- 3고려대의료원, ‘ESG 지속가능경영보고서’ 3년 연속 발간
- 4세브란스병원, NCSI 국가고객만족도 조사 15년 연속 1위
- 5"강진을 혁신하자" 김보미·노두섭 의원 북콘서트 성황
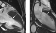
- 6돌연사 키우는 조용한 병…'비후성 심근병증' 아세요?
- 7김한종 장성군수 "정부 예산 확보에 사활"
- 8마곡 차병원 난임센터 오픈…아시아 최대 규모 AI 특화센터
- 9정용진, G마켓 살릴까…신세계·알리바바 JV 의장 선임
- 10슬림폰 전쟁 ‘옛말’…삼성·애플, 소비자 외면에 ‘전략 변경’


























































